当前位置: 首页 > 执业医师 > 临床执业医师 > 医学图库 > 非何杰金氏淋巴瘤
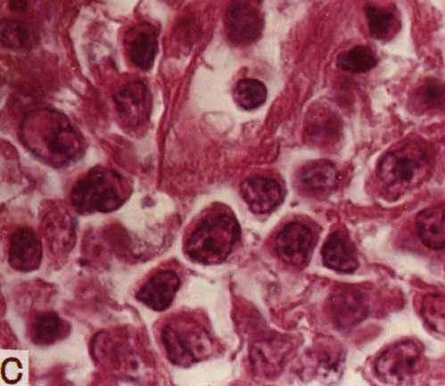
非何杰金氏淋巴瘤
来源:张博士医考官网 作者:杨兴菊 2015-05-07 18:05:20
北京张博士医考临床执业医师考试辅导之——非何杰金氏淋巴瘤

北京张博士医考张银合博士携全体优秀老师助大家考试顺利通过!

「张博士医考www.guojiayikao.com整理,如有转载,请注明出处」
上一篇:腺瘤癌变
学习指南
配套图书
红宝书/张博士医考红宝书系列2023新版

860.00

 购买
年品质如约
300
300+老师团队
333
333家分校服务
365
365天竭诚服务
24小时在线服务 张博士医考客服
联系客服
京ICP备19006576号-1   咨询邮箱:zhiyeyishi@aliyun.com     京公网安备11010202008671   投诉电话:18701537533   传真:010-63588455
Copyright © 2007-2029 www.guojiayikao.com All Rights Reserved   北京协合张博教育科技有限公司 版权所有 营业执照
找组织
扫码找组织

关注公众号

在线客服