甲硝唑过量引发的中毒性脑病一例
北京张博士医考临床执业医师辅导资料—甲硝唑过量引发的中毒性脑病一例
北京张博士医考张银合博士携全体优秀老师助大家考试顺利通过!
甲硝唑是一种常用的抗真菌药物,很少人知道使用时若不考虑剂量和服用的持续时间会导致脑病。因为其非常罕见,给临床诊断带来挑战。
近日,来自印度新德里的印度医学科学研究所反射科的 Sandip 教授等人发表了一篇关于甲硝唑引起脑病的病例报道,刊登在最新一期的 BMJ 杂志上。
患者,女性,48 岁,因阿米巴肝脓肿服用甲硝唑片(800 mg,3 次 / 天),并出现头晕头痛,行为改变。
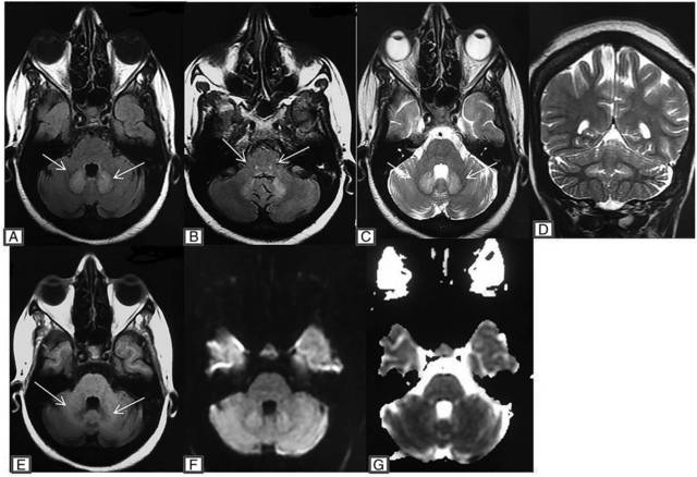
MRI 显示 T2 加权和 FLAIR 对称高信号,累及双侧齿状核和小脑深部白质(如图 1 A、C、D 白色箭头所示)和双侧脑桥背部的上橄榄核(如图 1b 白色箭头所示)。相应的区域在 T1 加权成像低信号(如图 1E 白色箭头所示)。在 DWI 未发现限制扩散,表观扩散系数图未见异常(如图 1F、G)。

图片1.jpg
图 1. MRI 显示 T2 加权和 FLAIR 对称高信号,累及双侧齿状核和小脑深部白质(如图 A、C、D 白色箭头所示)和背侧脑桥双侧橄榄核(如图 B 白色箭头所示)。相应的区域在 T1 加权成像低信号(如图 1E 白色箭头所示)。在 DWI 未发现限制扩散和表观扩散系数图未见异常(如图 F、G)
停药后患者的临床症状明显改善。
如上图所示,甲硝唑引发的脑病在 MR 上有特征性的表现,所以是其诊断的重要辅助检查。先前报道的病例,在小脑齿状核、中脑、脑桥背侧、胼胝体髓质和胼胝体压部有典型的脑损害表现。
同时, MR 对随访也是有帮助的,因为大部分的病变是可逆的,并且在弥散加权成像(DWI)上符合血管性水肿,虽然其中一些可表现为细胞毒性水肿。
「张博士医考www.guojiayikao.com整理,如有转载,请注明出处」
北京张博士医考张银合博士携全体优秀老师助大家考试顺利通过!
甲硝唑是一种常用的抗真菌药物,很少人知道使用时若不考虑剂量和服用的持续时间会导致脑病。因为其非常罕见,给临床诊断带来挑战。
近日,来自印度新德里的印度医学科学研究所反射科的 Sandip 教授等人发表了一篇关于甲硝唑引起脑病的病例报道,刊登在最新一期的 BMJ 杂志上。
患者,女性,48 岁,因阿米巴肝脓肿服用甲硝唑片(800 mg,3 次 / 天),并出现头晕头痛,行为改变。
MRI 显示 T2 加权和 FLAIR 对称高信号,累及双侧齿状核和小脑深部白质(如图 1 A、C、D 白色箭头所示)和双侧脑桥背部的上橄榄核(如图 1b 白色箭头所示)。相应的区域在 T1 加权成像低信号(如图 1E 白色箭头所示)。在 DWI 未发现限制扩散,表观扩散系数图未见异常(如图 1F、G)。

图片1.jpg
图 1. MRI 显示 T2 加权和 FLAIR 对称高信号,累及双侧齿状核和小脑深部白质(如图 A、C、D 白色箭头所示)和背侧脑桥双侧橄榄核(如图 B 白色箭头所示)。相应的区域在 T1 加权成像低信号(如图 1E 白色箭头所示)。在 DWI 未发现限制扩散和表观扩散系数图未见异常(如图 F、G)
停药后患者的临床症状明显改善。
如上图所示,甲硝唑引发的脑病在 MR 上有特征性的表现,所以是其诊断的重要辅助检查。先前报道的病例,在小脑齿状核、中脑、脑桥背侧、胼胝体髓质和胼胝体压部有典型的脑损害表现。
同时, MR 对随访也是有帮助的,因为大部分的病变是可逆的,并且在弥散加权成像(DWI)上符合血管性水肿,虽然其中一些可表现为细胞毒性水肿。
「张博士医考www.guojiayikao.com整理,如有转载,请注明出处」
上一篇:视神经的结构特点简介
下一篇:动眼神经的临床表现
- 免费试听
- 网络课
- 直播课
配套图书
红宝书/张博士医考红宝书系列2023新版

学习中心
手机学习





