帕金森:影像学检测也可衡量病情变化
北京张博士医考临床执业医师考试辅导之——帕金森:影像学检测也可衡量病情变化
北京张博士医考张银合博士携全体优秀老师助大家考试顺利通过!
帕金森疾病是一种神经退行性疾病,以黑质致密带多巴胺能神经元细胞变性坏死为因,引发运动异常的临床表现。目前对帕金森病的诊断主要依靠临床症状,其诊断的准确度仅为 90%.很多疾病可以与帕金森有着相似的临床表现,很难进行鉴别。只要当黑质致密带中多巴胺神经元坏死超过 60%-80%,才能进行确诊。
所以目前急需一种方法可以在帕金森病的早期进行明确诊断,以利于患者的治疗和良好的预后。来自法国奥弗涅大学的 Leslie 博士通过影像的角度测量帕金森的代谢物质的变化来诊断帕金森病,同时对左旋多巴的治疗效果进行评价,其结果发表在最新一期的顶级影像学杂志 Radiology 上,或许可以给我们以后的工作一些启示。
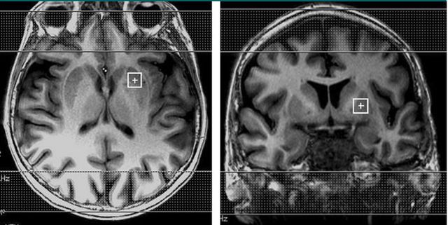
在本研究中,研究对象分为三个组:用左旋多巴治疗的帕金森病患者,停用左旋多巴药物的帕金森病患者,和正常志愿者。MRI 检查采用的序列为短回波(29msec)氢质子磁共振波谱成像(MRS),单体素(1 cm3)进行扫描,感兴趣区放置在双侧壳核,如图 1.

图 1. MRS 序列单体素扫描感兴趣区放置的位置
研究对象中,正常志愿者 20 名,帕金森患者 20 名,随机分为左旋多巴用药组和不用药组各 10 名,随访采集 MRI 数据后,将两组置换,然后再次采集数据。然后进行统计学分析,一是探查帕金森组合正常志愿者之间的代谢物差异,二是评价左旋多巴药物对帕金森病的治疗,和对代谢物的影响。
对于波普的分析,采用 LC-model 软件,分析结果如下图。
图 2. LC-model 软件对 MRS 处理的结果,女性,46 岁,正常志愿者
研究结果发现,壳核总 N- 乙酰天冬氨酸浓度,肌酸和肌醇的浓度未用药帕金森病患者较正常志愿者明显减低。采用左旋多巴药物治疗组 N- 乙酰天冬氨酸浓度和肌酸浓度较未用药组明显升高,但肌醇未见明显变化。谷氨酸谷氨酰胺和胆碱代谢物的浓度在正常志愿者和帕金森病患者之间未见明显差异。

图 3. 三组间各种代谢物的比较,其中? = P < 0.05, ?? = P <0.01, and ??? 5 P< 0.001.m-Ins 为肌醇,tCho 为胆碱, tNAA 为 N- 乙酰天冬氨酸,tCr 为肌酸,Glx 为谷氨酸谷氨酰胺
最终研究结果得出结论,壳核处乙酰天门冬氨酸、肌酸和肌醇浓度的变化可以作为帕金森病的生物学标记物,乙酰天门冬氨酸和肌酸的浓度与左旋多巴的治疗相关。
「张博士医考www.guojiayikao.com整理,如有转载,请注明出处」
北京张博士医考张银合博士携全体优秀老师助大家考试顺利通过!
帕金森疾病是一种神经退行性疾病,以黑质致密带多巴胺能神经元细胞变性坏死为因,引发运动异常的临床表现。目前对帕金森病的诊断主要依靠临床症状,其诊断的准确度仅为 90%.很多疾病可以与帕金森有着相似的临床表现,很难进行鉴别。只要当黑质致密带中多巴胺神经元坏死超过 60%-80%,才能进行确诊。
所以目前急需一种方法可以在帕金森病的早期进行明确诊断,以利于患者的治疗和良好的预后。来自法国奥弗涅大学的 Leslie 博士通过影像的角度测量帕金森的代谢物质的变化来诊断帕金森病,同时对左旋多巴的治疗效果进行评价,其结果发表在最新一期的顶级影像学杂志 Radiology 上,或许可以给我们以后的工作一些启示。
在本研究中,研究对象分为三个组:用左旋多巴治疗的帕金森病患者,停用左旋多巴药物的帕金森病患者,和正常志愿者。MRI 检查采用的序列为短回波(29msec)氢质子磁共振波谱成像(MRS),单体素(1 cm3)进行扫描,感兴趣区放置在双侧壳核,如图 1.

图 1. MRS 序列单体素扫描感兴趣区放置的位置
研究对象中,正常志愿者 20 名,帕金森患者 20 名,随机分为左旋多巴用药组和不用药组各 10 名,随访采集 MRI 数据后,将两组置换,然后再次采集数据。然后进行统计学分析,一是探查帕金森组合正常志愿者之间的代谢物差异,二是评价左旋多巴药物对帕金森病的治疗,和对代谢物的影响。
对于波普的分析,采用 LC-model 软件,分析结果如下图。
图 2. LC-model 软件对 MRS 处理的结果,女性,46 岁,正常志愿者研究结果发现,壳核总 N- 乙酰天冬氨酸浓度,肌酸和肌醇的浓度未用药帕金森病患者较正常志愿者明显减低。采用左旋多巴药物治疗组 N- 乙酰天冬氨酸浓度和肌酸浓度较未用药组明显升高,但肌醇未见明显变化。谷氨酸谷氨酰胺和胆碱代谢物的浓度在正常志愿者和帕金森病患者之间未见明显差异。

图 3. 三组间各种代谢物的比较,其中? = P < 0.05, ?? = P <0.01, and ??? 5 P< 0.001.m-Ins 为肌醇,tCho 为胆碱, tNAA 为 N- 乙酰天冬氨酸,tCr 为肌酸,Glx 为谷氨酸谷氨酰胺
最终研究结果得出结论,壳核处乙酰天门冬氨酸、肌酸和肌醇浓度的变化可以作为帕金森病的生物学标记物,乙酰天门冬氨酸和肌酸的浓度与左旋多巴的治疗相关。
「张博士医考www.guojiayikao.com整理,如有转载,请注明出处」
下一篇:诊断-记忆障碍
- 免费试听
- 网络课
- 直播课
配套图书
红宝书/张博士医考红宝书系列2023新版

学习中心
手机学习





