病例分享:儿童气管内异物取出的方法
北京张博士医考张银合博士携全体优秀老师助大家考试顺利通过!
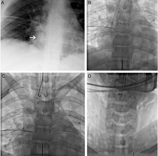
病例 1
16 岁女孩因气管异物转入。入院 4 天前,患儿吸入订书钉。胸片显示订书钉位于右主支气管内(图 1 A)。起初尝试使用支气管镜取出异物没有成功,并且还造成右侧张力性气胸,进而给予胸腔闭式引流进行治疗。之后患者被转入我院。决定在心导管室内于透视介导下行异物取出,如果无效则进行外科手术。

病例 1
16 岁女孩因气管异物转入。入院 4 天前,患儿吸入订书钉。胸片显示订书钉位于右主支气管内(图 1 A)。起初尝试使用支气管镜取出异物没有成功,并且还造成右侧张力性气胸,进而给予胸腔闭式引流进行治疗。之后患者被转入我院。决定在心导管室内于透视介导下行异物取出,如果无效则进行外科手术。

图 1 A 胸片显示异物在右下肺叶;B 指引导管接近异物;C 用血管钳夹取异物并上升至气管;D 将支气管导管和导管一起撤回至声带以上
全麻并接机械通气后,使用 7.5 mm 的支气管导管探查支气管,使用的指引导管是 6-Fr JR-4 的,导丝为 0.035 英寸的,指引导管从支气管导管的侧孔伸出到达异物(图 1 B)。
起初尝试应用多个微型捕捞器取出异物,但是没有成功,然后使用 3-Fr 的血管钳夹取异物并送至声带水平(图 1 C)。
由于订书钉经常从血管钳上滑落,采用微型捕捞器将其固定在支气管导管的远端。之后将支气管导管、引导导管、捕捞器、订书钉一起取出,取出的过程中,订书钉的尖端朝里,以防止声带被异物损伤。透视介导的时间长度一共是 22 分钟。患者术后未出现并发症,并于第二天出院。
「张博士医考www.guojiayikao.com整理,如有转载,请注明出处」 全麻并接机械通气后,使用 7.5 mm 的支气管导管探查支气管,使用的指引导管是 6-Fr JR-4 的,导丝为 0.035 英寸的,指引导管从支气管导管的侧孔伸出到达异物(图 1 B)。
起初尝试应用多个微型捕捞器取出异物,但是没有成功,然后使用 3-Fr 的血管钳夹取异物并送至声带水平(图 1 C)。
由于订书钉经常从血管钳上滑落,采用微型捕捞器将其固定在支气管导管的远端。之后将支气管导管、引导导管、捕捞器、订书钉一起取出,取出的过程中,订书钉的尖端朝里,以防止声带被异物损伤。透视介导的时间长度一共是 22 分钟。患者术后未出现并发症,并于第二天出院。
病例 2
10 岁男孩因 2 个月来反复出现呼吸困难被收入呼吸科。胸片显示左下肺叶的后背段有异物存在(图 2 A)。在异物停留部位有支气管扩张的改变,说明有慢性炎症。鉴于异物所处的部位过深,单独应用肺部介入技术取出异物难度过大,便决定联合心脏介入技术进行治疗。

10 岁男孩因 2 个月来反复出现呼吸困难被收入呼吸科。胸片显示左下肺叶的后背段有异物存在(图 2 A)。在异物停留部位有支气管扩张的改变,说明有慢性炎症。鉴于异物所处的部位过深,单独应用肺部介入技术取出异物难度过大,便决定联合心脏介入技术进行治疗。

图 2 A 胸片显示异物在左下肺叶;B 纤维支气管镜靠近异物;C 通过纤支镜放入的活检钳不能夹取异物;D 透视下,指引导管可以深入到距离异物 1 到 2 mm 的部位 全麻并插入 6.5 mm 的支气管导管。将 2.8 mm 的支气管镜连接双轴旋转接头,在透视介导下,探查左主支气管直至不能深入。此时支气管镜距离异物仍有几毫米(图 2 B)。
之后,在透视介导下,我们将有齿活检钳(FB-56-D1, Olympus Optical Co, Ltd, Tokyo,Japan)通过 3.6 mm 的纤维支气管镜的吸引管放入,并多次尝试夹取异物,而没有成功,但是从异物周围吸引出了厚厚的、白色分泌物。
撤出纤维支气管镜后,将 4-Fr 的 Terumo 指引导管和 0.018 英寸的 Hi-Torque Flex-T 导丝通过旋转接头送入。在透视介导下,导管很容送到了异物周围(图 2 D)。之后将导管替换为 6-Fr JR-4 的大口径指引导管。
由于异物周围有一层由炎症分泌物和纤维组织构成的坚硬、有韧性的物质,多次尝试通过捕捞器以及血管钳取出异物都没有成功。无法让导管通过异物周围所包围的物质。透视结果显示,导管和活检钳距离异物只有 1 到 2 mm 远(图 2 D)。
此时注意到在支气管导管的远端以及指引导管上有少量的出血,认为继续取异物会有一定的风险,便用普通生理盐水清理了远端气道并吸引干净,以防止有未发现的出血。
之后,将捕捞器、指引导管和支气管导管取出。操作全过程中,除了最后出现少量出血外,没有出现其他并发症。透视时间一共为 45 分钟,计划之后对患者进行肺叶切除手术。
之后,在透视介导下,我们将有齿活检钳(FB-56-D1, Olympus Optical Co, Ltd, Tokyo,Japan)通过 3.6 mm 的纤维支气管镜的吸引管放入,并多次尝试夹取异物,而没有成功,但是从异物周围吸引出了厚厚的、白色分泌物。
撤出纤维支气管镜后,将 4-Fr 的 Terumo 指引导管和 0.018 英寸的 Hi-Torque Flex-T 导丝通过旋转接头送入。在透视介导下,导管很容送到了异物周围(图 2 D)。之后将导管替换为 6-Fr JR-4 的大口径指引导管。
由于异物周围有一层由炎症分泌物和纤维组织构成的坚硬、有韧性的物质,多次尝试通过捕捞器以及血管钳取出异物都没有成功。无法让导管通过异物周围所包围的物质。透视结果显示,导管和活检钳距离异物只有 1 到 2 mm 远(图 2 D)。
此时注意到在支气管导管的远端以及指引导管上有少量的出血,认为继续取异物会有一定的风险,便用普通生理盐水清理了远端气道并吸引干净,以防止有未发现的出血。
之后,将捕捞器、指引导管和支气管导管取出。操作全过程中,除了最后出现少量出血外,没有出现其他并发症。透视时间一共为 45 分钟,计划之后对患者进行肺叶切除手术。
上一篇:【一图读懂】小儿黄疸诊断流程
下一篇:小儿支原体肺炎的常规治疗
- 免费试听
- 网络课
- 直播课
配套图书
红宝书/张博士医考红宝书系列2023新版

学习中心
手机学习





