北京张博士医考公卫执业考试辅导之——
北京张博士医考张银合博士携全体优秀老师助大家考试顺利通过!
第一部分 X线光片认读题(1-6题)
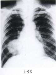
1.(1号片)
A、右肺周围型肺癌
B、纵隔肿瘤
C、右下叶肺不张
D、右下叶肺脓肿
E、右胸腔包裹性积液

2.(2号片)
A、食管良性狭窄
B、食管憩室
C、喷门失弛缓症
D、中段食管癌
E、食管平滑肌瘤

3.(3号片)
A、正常胫腓骨X线片
B、胫骨下段骨折
C、腓骨下段骨折
D、胫腓骨双骨折
E、踝关节脱位

4.(4号片)
A、右上肺不张
B、右中心性肺癌
C、右上肺结核
D、右周围性肺癌
E、右上肺大叶性肺炎

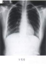
5.(5号片)
A、正常胸片
B、肺气肿
C、胸膜肥厚
D、气胸
E、肺炎

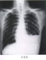
6.(6号片)此片有哪些异常?
A、左侧液胸
B、左侧气胸
C、左侧胸膜炎胸腔积液
D、左肺囊肿
E、左肺不张

第二部分 心电图认读题
由于图片不清楚,就没有传上来了,自己多看看书吧!
第三部分检验试题(15-20题)
15.成人白细胞的正常参考值为
A、(4-10)×109/L(4000-10000/mm3)
B、(5-10)×109/L(5000-10000/mm3)
C、(4-11)×109/L(4000-11000/mm3)
D、(5-11)×109/L(5000-11000/mm3)
E、(6-10)×109/L(6000-10000/mm3)
16.白陶土样便见于
A、进食量过大
B、食物主要为淀粉类
C、阻塞性黄疸
D、食入水果过多
E、食入蔬菜过少
17.下列哪项提示乙肝有较大传染性
A、抗HBc阳性
B、HBsHg阳性、HBeAg阳性、抗HBc阳性
C、HBsAg阳性、抗HBeAg阳性
D、HBsAg阳性、HBeAg阴性、抗HBc阳怀
E、抗HBs阳性
18.脑积液中葡萄糖减少可见于
A、乙型脑炎
B、脑肿瘤
C、散发脑炎
D、化脓性脑膜炎
E、脑外伤
19.下列哪种疾病总胆固醇不增高
A、动脉硬化
B、糖尿病
C、严重贫血和营养不良
D、肾病综合症
E、甲状腺机能亢进
20下列哪项为漏出液所具特征
A、可找到病原菌
B、细胞计数>500×106/L
C、粘蛋白定性阳性
D、细菌学检查阴性
E、能自凝
答案:1—6:EDACAC 15—20:ACBDED
E、右胸腔包裹性积液「张博士医考www.guojiayikao.com整理,如有转载,请注明出处」
- 免费试听
- 网络课
- 直播课
红宝书/张博士医考红宝书系列2023新版

学习中心
手机学习





