结核性脑膜炎检查-内科主治医师考试精华
北京张博士医考内科主治医师考试辅导之——结核性脑膜炎检查
北京张博士医考张银合博士携全体优秀老师助大家考试顺利通过!
结核性脑膜炎检查是内科主治医师考试会涉及到的知识点,北京张博士医考搜集整理,请参考。
结核性脑膜炎检查:
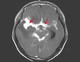
血常规检查大多正常,部分患者血沉可增高张博士医考论坛bbs.guojiayikao.com,伴有抗利尿激素异常分泌综合征的患者可出现低钠和低氯血症。约半数患者皮肤结核菌素试验阳性或胸部X线片可见活动性或陈旧性结核感染证据。CSF压力增高可达400mmH2O或以上,外观无包透明或微黄,静置后可有薄膜形成;淋巴细胞显著增多,常为(50~500)×106/l.蛋白增高,通常为1~2g/L,糖及氯化物下降,典型CSF改变可高度提示诊断。CSF抗酸染色仅少数为阳性,CSF培养出结核菌可确诊,但需大量脑脊液和数周时间。CT可显示基底池和皮质脑膜对比增强和脑积水。
「张博士医考www.guojiayikao.com整理,如有转载,请注明出处」张博士医考官方微信开通了
北京张博士医考张银合博士携全体优秀老师助大家考试顺利通过!

结核性脑膜炎检查是内科主治医师考试会涉及到的知识点,北京张博士医考搜集整理,请参考。
结核性脑膜炎检查:
血常规检查大多正常,部分患者血沉可增高张博士医考论坛bbs.guojiayikao.com,伴有抗利尿激素异常分泌综合征的患者可出现低钠和低氯血症。约半数患者皮肤结核菌素试验阳性或胸部X线片可见活动性或陈旧性结核感染证据。CSF压力增高可达400mmH2O或以上,外观无包透明或微黄,静置后可有薄膜形成;淋巴细胞显著增多,常为(50~500)×106/l.蛋白增高,通常为1~2g/L,糖及氯化物下降,典型CSF改变可高度提示诊断。CSF抗酸染色仅少数为阳性,CSF培养出结核菌可确诊,但需大量脑脊液和数周时间。CT可显示基底池和皮质脑膜对比增强和脑积水。
「张博士医考www.guojiayikao.com整理,如有转载,请注明出处」张博士医考官方微信开通了
- 免费试听
- 网络课
- 直播课
配套图书
红宝书/张博士医考红宝书系列2023新版

学习中心
手机学习





