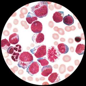
棒状小体(图)
- 免费试听
- 网络课
- 直播课
配套图书
红宝书/张博士医考红宝书系列2023新版
红宝书/张博士医考红宝书系列2023新版




京公网安备11010202008671
投诉电话:18701537533 传真:010-63588455
关注公众号
在线客服